Home
Application
Download
Find local pest control
en
EN
FR
ES
DE
Home
Application
Terms of Use
Privacy Policy
en
EN
FR
ES
DE
Copiright © Niro ID
google-play-not-available-title
google-play-not-available-text
google-play-not-available-send
Animalia
Arthropoda
Arachnida
Mesostigmata
Macronyssidae
Ornithonyssus
Ornithonyssus bacoti
Animalia
...
Ornithonyssus bacoti
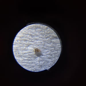
Tropical Rat Mite
Ornithonyssus bacoti
Local Pest Control
Mobile App
An insect specialist
right in your pocket
Tropical Rat Mite
Ornithonyssus bacoti
Local Pest Control
Content
Scientific classification
Scientific classification
kingdom:
Animalia
phylum:
Arthropoda
class:
Arachnida
order:
Mesostigmata
family:
Macronyssidae
genus:
Ornithonyssus